
Badania sugerują, że sztuczna inteligencja jest dokładniejsza w diagnozowaniu raka piersi na podstawie badań mammograficznych niż radiolodzy. Google Health właśnie zakończył z sukcesem testy przeszkolonego przez siebie algorytmu. Niebawem system może wspomóc lekarzy we wczesnym wykrywaniu raka piersi.
REKLAMA
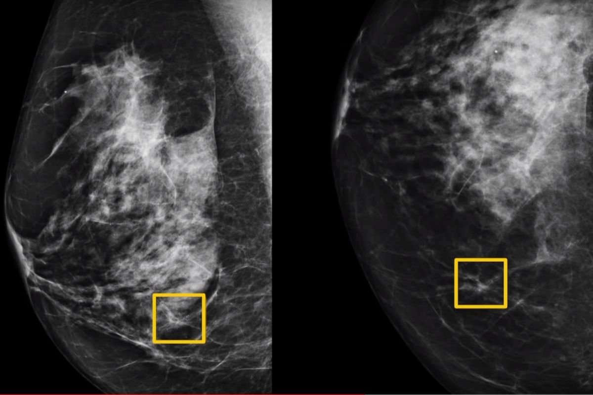
Międzynarodowy zespół ekspertów, w tym naukowcy z Google Health, Cancer Research UK Imperial Center, Northwestern Uniwesity i Imperial College London, stworzył system sztucznej inteligencji, który tylko na postawie badań mammograficznych dokładnie przewiduje to, czy kobieta ma raka piersi.
Wydajność systemu AI
Jak czytamy w Nature, algorytm przeszkolono na podstawie zdjęć rentgenowskich prawie 29 tys. kobiet, a jego wydajność porównano z decyzjami podejmowanymi przez specjalistów podczas wizyt przesiewowych.
Jak czytamy w Nature, algorytm przeszkolono na podstawie zdjęć rentgenowskich prawie 29 tys. kobiet, a jego wydajność porównano z decyzjami podejmowanymi przez specjalistów podczas wizyt przesiewowych.
Okazało się, że radził sobie lepiej niż radiolodzy – wykazał bezwzględną redukcję wyników fałszywie dodatnich, tzn. kobiet nieprawidłowo skierowanych do dalszego badań. Każde zdjęcie analizował na aż trzy sposoby. W efekcie czytał mammogramy tak dobrze, jak dwóch pracujących razem radiologów.
Czy AI zastąpi radiologów?
Raczej nie. W końcu to ludzie zaprojektowali i przeszkolili ten algorytm. Wyniki badania sugerują jednak, że może on podnieść jakość badań przesiewowych, odciążyć radiologów i zminimalizować konieczność odczytywania wyników przez dwóch lekarzy.
Raczej nie. W końcu to ludzie zaprojektowali i przeszkolili ten algorytm. Wyniki badania sugerują jednak, że może on podnieść jakość badań przesiewowych, odciążyć radiologów i zminimalizować konieczność odczytywania wyników przez dwóch lekarzy.
– Maszyny sztucznej inteligencji nie męczą się… mogą pracować 24 godziny na dobę, 7 dni w tygodniu, podczas gdy człowiek nie może tego zrobić, więc połączenie tych dwóch urządzeń to świetny pomysł – słusznie stwierdziła w rozmowie z BBC Helen Edwards, u której zdiagnozowano rak piesi.
Rak piersi to zmora naszych czasów
Jak zwracają uwagę badacze, konieczne są dalsze badania kliniczne, aby zrozumieć, w jakim zakresie ta technologia może przynieść korzyści programom badań przesiewowych w kierunku raka piersi.
Jak zwracają uwagę badacze, konieczne są dalsze badania kliniczne, aby zrozumieć, w jakim zakresie ta technologia może przynieść korzyści programom badań przesiewowych w kierunku raka piersi.
Daje jednak duże nadzieje na przyszłość. Zwłaszcza że rak piersi jest najczęstszym rodzajem raka u kobiet na całym świecie – występuje u jednej na osiem kobiet. A jak pokazują statystki, jeśli zostanie odpowiednio wcześnie wykryty, to może zostać całkowicie wyleczony.
Badania przesiewowe w kierunku raka piersi
Z tego powodu w wielu krajach na całych świecie prowadzone są programy przesiewowe w kierunku wykrywania raka piersi na wczesnym etapie – najczęściej właśnie mammografia.
Z tego powodu w wielu krajach na całych świecie prowadzone są programy przesiewowe w kierunku wykrywania raka piersi na wczesnym etapie – najczęściej właśnie mammografia.
Niestety, analiza prześwietleń piersi nie należy do najłatwiejszych i nie jest wolna od błędów. Jeden na pięć przypadków raka piersi jest pomijany przez radiologów.
